HOMOEOPATHY FOR MYELOFIBROSIS

Myelofibrosis (MF) belongs to a group of diseases called “myeloproliferative neoplasms” (MPNs). It is sometimes called a “blood cancer” or “bone marrow disorder.” People with myelofibrosis have a defect in their bone marrow that leads to overproduction or underproduction of various blood cells.
There are approximately 16,000 to 18,500 people in the United States with myelofibrosis. Myelofibrosis occurs equally in both men and women. It can occur at any age. However, people with this disease are usually over 50 years old when they are diagnosed—most are 50 to 80 years old.
In mylofibrosis the marrow is initially hypercellular, with an excess of abnormal megakaryocytes which release growth factors, e.g. platelet derived growth factor, to the marrow microenvironment, resulting in a reactive proliferation of fibroblasts. As the disease progresses , the marrow becomes fibrosed.
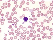
The characteristic blood picture is a leucoerythroblastic anaemia , with circulating immature red blood cells ( increased reticulocytes and nucleated red blood cells ) and granulocyte precursors ( myelocytes ). The red cells are shaped like teardrops ( teardrop poikilocytes ).  and giant platelets may be seen in the blood. The white count varies from low to moderately high, and the platelet count may be high, normal or low. Urate levels may be high due to increased cell breakdown , and folate deficiency is common. The marrow is often difficult to aspirate and a trephine biopsy shows an excess of megakaryocytes , increased reticulin and fibrous tissue replacement. The presence of a JAK-2mutation supports the diagnosis.
Symptoms
Living with myelofibrosis (MF) is different for every person. No matter how myelofibrosis affects you, it is important to monitor and keep track of any symptoms. This will help your health care team both treat and manage any symptoms you may experience. 
Symptoms of MF might include:
·         Abdominal pain
·         Fatigue        
·         Fever                 
·         Night sweats
·         Bone/muscle pain          
·         Easy bruising or bleeding                  
·         Pain under the left ribs
·         Early feeling of fullness   
·         Itchiness                     
·         Weight loss
·         Shortness of breath
Causes
Myelofibrosis occurs when blood stem cells develop a genetic mutation. Blood stem cells have the ability to replicate and divide into the multiple specialized cells that make up your blood — red blood cells, white blood cells and platelets.
It's not clear what causes the genetic mutation in blood stem cells.
As the mutated blood stem cells replicate and divide, they pass along the mutation to the new cells. As more and more of these mutated cells are created, they begin to have serious effects on blood production.
The end result is usually a lack of red blood cells — which causes the anemia characteristic of myelofibrosis — and an overabundance of white blood cells with varying levels of platelets. In people with myelofibrosis, the normally spongy bone marrow becomes scarred.
Several specific gene mutations have been identified in people with myelofibrosis. The most common is the Janus kinase 2 (JAK2) gene. Knowing whether the JAK2 gene or others are associated with your myelofibrosis helps determine your prognosis and your treatment.
HOMOEOPATHIC APPROACH

Homoeopathy today is a rapidly growing system and is being practiced almost all over the world. Its strength lies in its evident effectiveness as it takes a holistic approach towards the sick individual through promotion of inner balance at mental, emotional, spiritual and physical levels.

Homeopathy treats the person as a whole. This means that homeopathic treatment focuses on the patient as a person, as well as his pathological condition. In Homeopathic treatment medicines are selected after a full individualizing examination and case-analysis, which includes the medical history of the patient, physical and mental constitution, his likes and dislikes, thermal status  etc. A miasmatic tendency (predisposition/susceptibility) is also often taken into account for the treatment of chronic conditions.

Arsenic iodide, Natrum sulph. Kali sulph. Phosphorus, Natrum muriaticum, Ceonanthus, Radium bromide, Sulphur, Thiosinaminum, Vanadium met. are important medicines to be considered for Myelofibrosis.



Comments

Popular posts from this blog

HOMOEOPATHIC REMEDIES FOR EYE AFFECTIONS

DRABA VERNA

DIET AND HOMEOPATHY FOR HIGH BLOOD PRESSURE